La leucemia linfocítica crónica es la neoplasia hematológica más frecuente en el mundo occidental. Se caracteriza por una acumulación progresiva de linfocitos inmunoincompetentes, que se acumulan en sangre periférica (linfocitosis).
Epidemiología
Es más frecuente en personas de edad avanzada, siendo la edad media en el momento del diagnóstico de 70 años. La incidencia también varía en función del sexo (más frecuente en hombres que en mujeres), de la raza (incidencia extremadamente baja en países asiáticos) y de polimorfismos genéticos.
Patogénesis
La mayoría de los pacientes son asintomáticos, sin que experimenten ningún síntoma ni progresión de la enfermedad.
Sin embargo hay algunos pacientes que sí pueden experimentar signos y síntomas relacionados con esta acumulación excesiva de linfocitos (linfocitosis): infecciones (los linfocitos que se acumulan no cumplen correctamente su función de defensa inmunitaria), linfadenopatías, esplenomegalia y hepatomegalia (por acumulación de linfocitos en ganglios linfáticos, bazo e hígado, respectivamente) y citopenias.
Diagnóstico
Para el diagnóstico se debe realizar:
- Hemograma completo (analítica para detectar la linfocitosis)
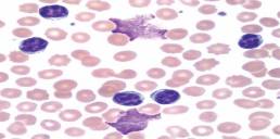
- Exámen de frotis periférico: mediante observación de una extensión de sangre al microscopio se pueden observar linfocitos característicos (de pequeño tamaño, aspecto maduro pero inmunoincompetentes).

- Análisis inmunofenotípico de los linfocitos: mediante una técnica llamada citometría de flujo se pueden observar diferentes marcadores característicos.
Tratamiento
Sólo se debe tratar a los pacientes que presenten enfermedad activa (en pacientes asintomáticos se recomienda observación). Para la elección del tratamiento se debe tener en cuenta:
- Si el paciente ha recibido algún tratamiento anterior para la enfermedad. En ese caso se tiene en cuenta el tiempo transcurrido hasta la progresión de la enfermedad.
- La presencia de comorbilidades (frecuentes ya que son pacientes de edad avanzada).
- Estadío clínico y presencia de mutaciones genéticas de mal pronóstico.
- En este sentido han surgido nuevos fármacos orales, como ibrutinib e idelalisib. Los pacientes que presentan estas mutaciones genéticas, que históricamente han presentado una peor respuesta y pronóstico, pueden beneficiarse de estos fármacos.
Debido a esta variabilidad, no existe una pauta de tratamiento estándar. Por ello es importante identificar a los pacientes y clasificarlos en diferentes grupos de riesgo utilizando diferentes sistemas de estadiaje.
Siempre que sea posible se debe seguir este tratamiento de un trasplante de precursores hematopoyéticos.
Así mismo, se deben tratar las complicaciones relacionadas con la enfermedad y con el tratamiento. Por ejemplo llevar a cabo una profilaxis antiinfecciosa, manejo de citopenias, vacunación acorde al grupo de edad (evitando vacunas de virus vivos) y frente al virus de la gripe estacional y neumococo.